Back to Projects List
Improvements to ctkDICOMDatabase
Key Investigators
- Marco Nolden (DKFZ/MITK)
- Steve Pieper (Isomics)
-
Andras Lasso (Queen’s University, Canada)
- Jean-Christophe Fillion-Robin (Kitware)
Project Description
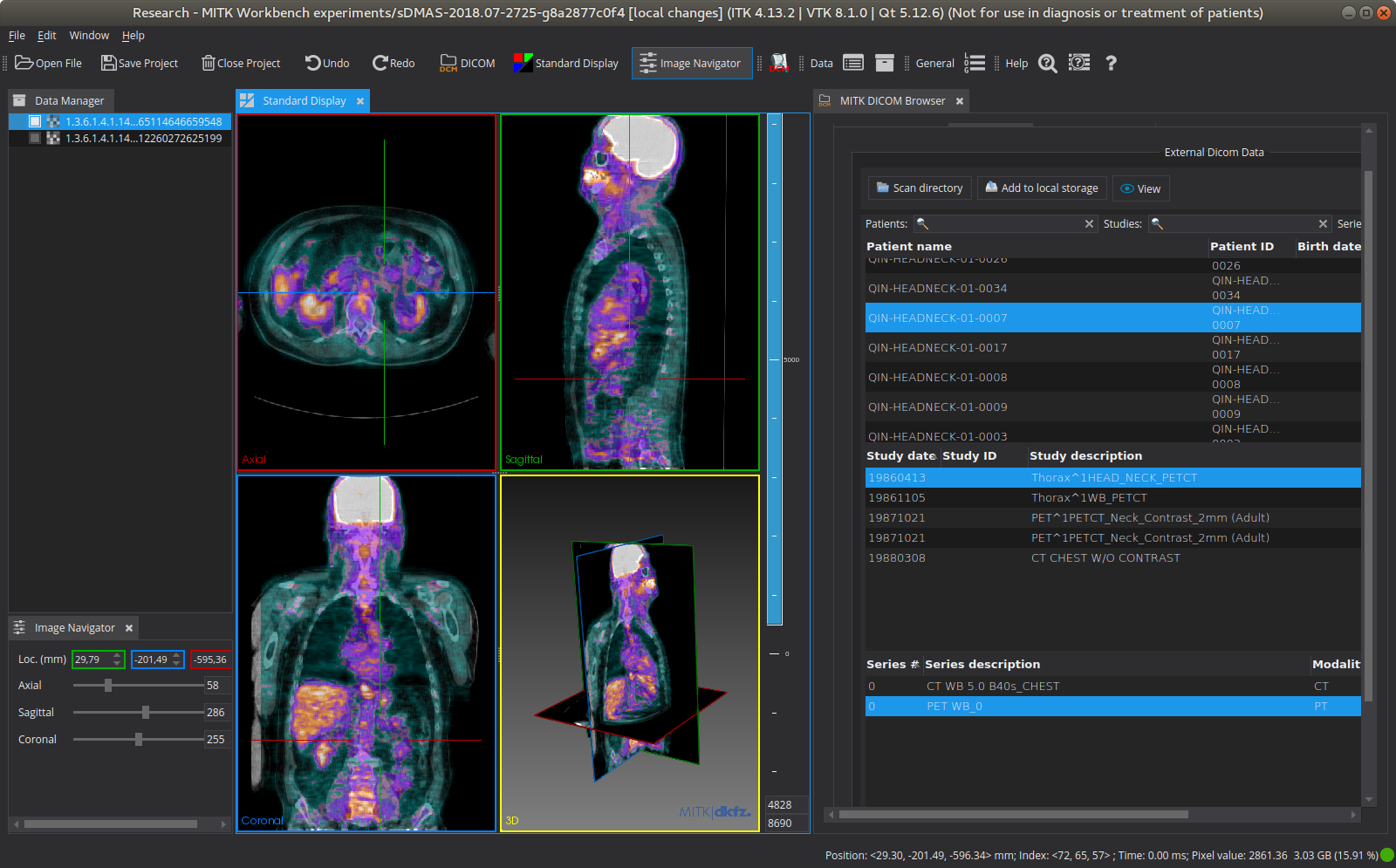
The ctkDICOMDatabase is a component used both in 3D Slicer as well as the MITK Workbench to manage local DICOM files and offer a UI for browsing these files as well as getting data from a PACS using DICOM C-FIND, C-MOVE and C-GET. Recently the UI has been improved thanks to Andras Lasso (1, 2), and on previous project weeks there were first experiments on adding DICOM-Web support.
Current Slicer nightly:

Objective
- Objective A. Integrate the recent UI improvements into the MITK Workbench
- Objective B. Make the ctkDICOM executables work again as a development testbed and simple C++-based DICOM client.
- Objective C. Investigate different options for DICOM-Web support: qRestSDK, cpprestsdk, using JavaScript within C++ ; show a prototype for a simple QIDO and WADO example
Approach and Plan
- Update CTK Version in MITK and fix problems.
- Explore the status of the ctkDICOM and ctkDICOM2 executables.
- Continue efforts on C++-based DICOM-Web
- …
Progress and Next Steps
- Updated the CTK version used in MITK, fixed some small interface changes
- Debugged the changed behaviour when using in-memory databases and changing the MITK integration. Tested using various collections including DICOM-SEG generated by MevisLab provided by @hmeine
- Verified the ctkDICOM and ctkDICOM2 executables, ctkDICOM2 is the way to go, ctkDICOM would need some work to make it useful again
Illustrations

Background and References